こんにちは。横浜市旭区善部町、あらた動物病院 院長の小林新です。
今回は前足が痛そうとのことで来院された、13歳のアメショMIXさんの女の子を紹介したいと思います。
この子は、前足を地面につくことはできるのですが、できるだけ体重をかけないように歩いている様子でした。足先を触ってみると腫れているのが確認できました。

足先の腫れだけではなく痛みもあるようで、触るのを嫌がりました。指先まで腫れてしまっているので爪が埋もれてしまっているのがわかります。
原因を探るために、レントゲンを撮らせていただくことにしました。

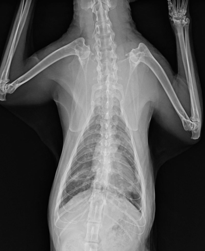
腫瘍や炎症の可能性を考えました。特に足や指の腫瘍も考えましたが、左右の前足で同時に症状が出ていることに違和感を感じました。足や指の腫瘍なら、通常は片方の足だけ出ることが多いです。そこで、ある疾患が鑑別疾患に挙がり、肺のレントゲンを撮影しました。


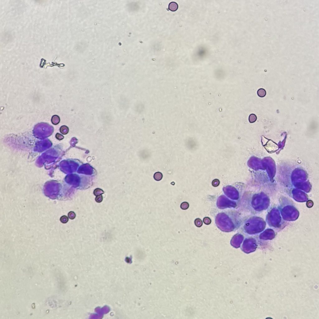
指が腫れている部位に針生検を実施し、このような細胞がとれてきたので外注検査で評価していただきました。


この結果からやはり鑑別疾患に挙げていた肺指(はいゆび)症候群と診断しました。肺指症候群とは、肺癌が四肢の指先に転移する猫ちゃん特有の病態です。
転移なので多発することもあり、足先が腫れ、骨も溶けてくるため、非常に強い痛みを伴います。
また、診断時には肺癌が指以外にも全身転移していることがほとんどで、予後は極めて悪く、余命は1-2ヵ月程と言われています。肺癌でも末期的な状態なので積極的な治療は難しく、今回は痛みを取ることが中心の緩和治療を実施することになりました。
まず、鎮痛剤を使用しましたが、痛みは変わりませんでした。だんだん食事量も減っており投薬も難しくなってきたので、どうにか痛みをとってあげる方法が他にないか考えました。そこで候補に挙がったのがソレンシアという注射薬です。
以前のブログの記事でも載せましたが、ソレンシアは変形性関節症(OA)の疼痛を緩和する猫用の抗NGFモノクローナル抗体製剤です。 有効成分であるフルネベトマブは、慢性疼痛に関与している神経成長因子(NGF)と結合し、NGF介在性の痛みシグナルの伝達を抑制することにより、疼痛を緩和すると言われています。
この薬に関しては、猫の顎骨中心性扁平上皮癌という癌に対して他の薬と組み合わせることで効果があるのではないかと言われており、アメリカの大学で研究が始まっています。
今回の症例でも効果が出る可能性があるのではないかと考えて、適応外使用ではありますがオーナー様と相談し、ソレンシアを使わせていただきました。投与前は、前足がつけられない状態でしたが、投与後からつけるようになり、明らかな鎮痛効果が認められました。
最終的には、残念ながら診断から約1か月で亡くなってしまいましたが、ソレンシアは最後まで効いてくれてました。
もちろん、ソレンシアはどんな痛みに対しても効果がある薬ではありません。ただ、このように一部の腫瘍性疾患では効果が期待できそうです。今後、さらに情報が蓄積されて、痛みに苦しむ猫ちゃんの治療の選択肢が少しでも増えればと思っています。
痛みでお困りの猫ちゃんがいらっしゃいましたらいつでもご相談ください。